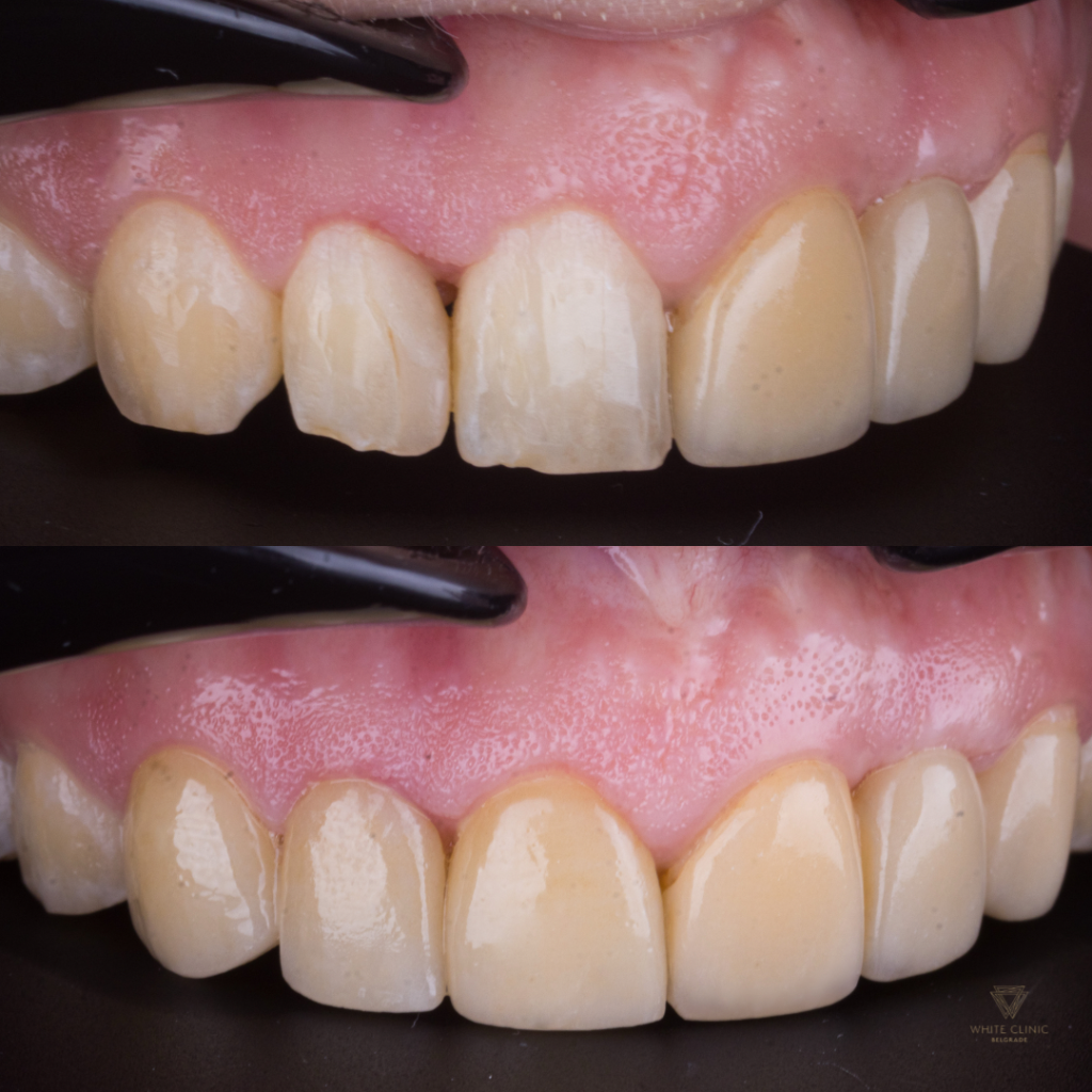
Naši radovi Veneers Veneers - before and after Lithium Disilicate Crowns Hollywood Smile All Ceramic Crowns Complete smile makeover All on 4 Monolithic Zirconia