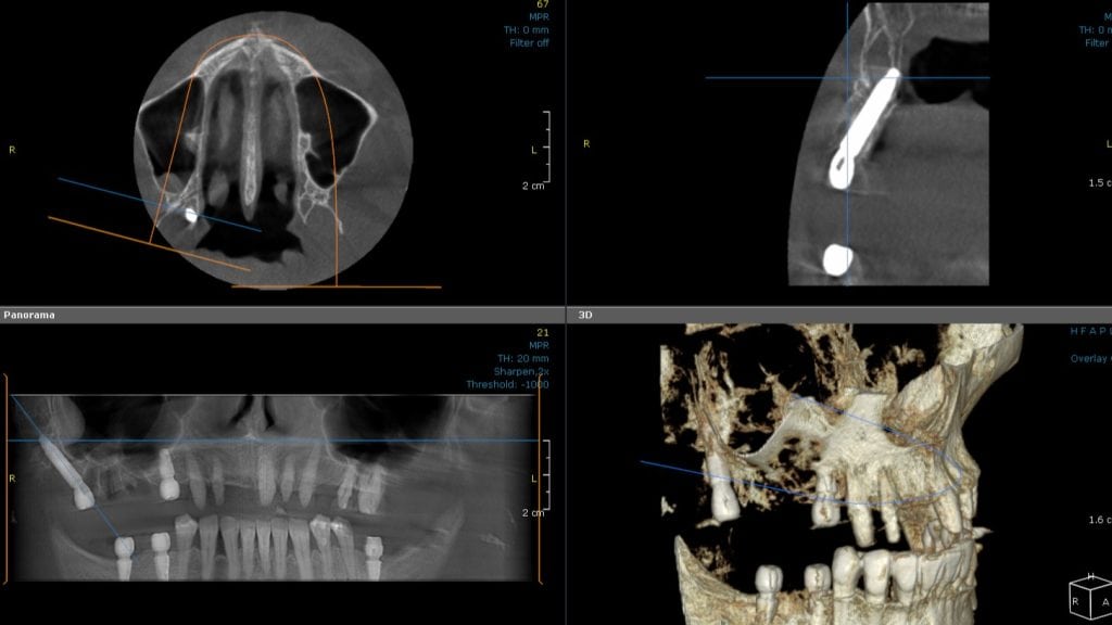
Pterigoid implants are a specific type of dental implant placed in the posterior part of the upper jaw. Their key feature is that their threads engage pterygoid process of the sphenoid bone i Pyramidal process of the palatine bone.
Why choose this method?
The main reason for their use is the unfavorable anatomy of the lateral part of the maxilla, where the chewing forces are strongest. We often encounter the following challenges:
- Insufficient bone height due to the expansion (pneumatization) of the maxillary sinus.
- Low bone density, which is why conventional implants cannot achieve the necessary primary stability.
- Avoiding additional surgeries: By using this method, an expensive and risky one can be avoided. sinus lift.
Technology and Precision: Neodent Solutions
It is important to note that the term „pterigoid“ refers to the location, not a specific implant model. However, they must be cup-shaped and self-tapping.
- Straumann Group Neodent implants have proven to be extremely suitable for this purpose.
- Nude A wide selection of lengths, which is crucial because each patient's anatomy is unique.
„Rescue“ implant and the All-on-4™ concept
These implants are also often called „rescue“ implants.
- Dental prosthetics: If a conventional implant in the lateral region fails, a pterygoid implant can quickly and efficiently save the entire prosthesis.
- Full set of teeth: In combination with All-on-4™ The concept allows for a fixed restoration of 14 teeth, even in patients with a very wide smile where the second molars are also visible.
Note: Pterigoid implants are exclusively used in combination with other implants and cannot be used as standalone single-tooth solutions.
Safety and success
With a 30-year tradition and a success rate between 94% and 98%, This is a proven method. The key to success lies in the hands of an experienced oral surgeon who possesses specific training and a deep knowledge of head anatomy.
Frequently Asked Questions about Pterygoydean Implants
- Is the placement of pterygoid implants an extra charge? No. Pterygoyid implants are charged for like all other implants at our clinic. Although they require specific surgical skill and a deep knowledge of anatomy, they are treated as part of the standard implantological protocol.
- Can they be combined with zygomatic implants? Yes. These two types of implants are often combined in patients with extreme bone loss in the upper jaw, achieving maximum stability without the need for a bone graft.
- Is the recovery more difficult than with regular implants? Actually, no. Although it sounds more complex because it involves deeper regions of the bone, the postoperative course is very similar to a standard implant placement. Patients usually don't notice any difference in the area where the pterygoid implant is placed compared to the others.
- Will I feel the implant in the back of my jaw? No. Once the healing process is complete and the prosthetic restoration is placed, the patient has no particular sensation of a „foreign object.“ The implant is fully integrated into the sphenoid and palatal bone.
- What is the difference between a pterygoid implant and a sinus lift? The main difference is patient comfort. While a sinus lift requires additional surgery and a multi-month wait for the artificial bone to integrate, the pterygoydal implant uses your existing, solid bone in the posterior segment, which allows for faster tooth restoration.
- Can pterygoid implants replace a denture? Pterigoid implants are not used for the retention of removable prostheses. They are exclusively intended for fixed prosthetic solutions that are not removable.
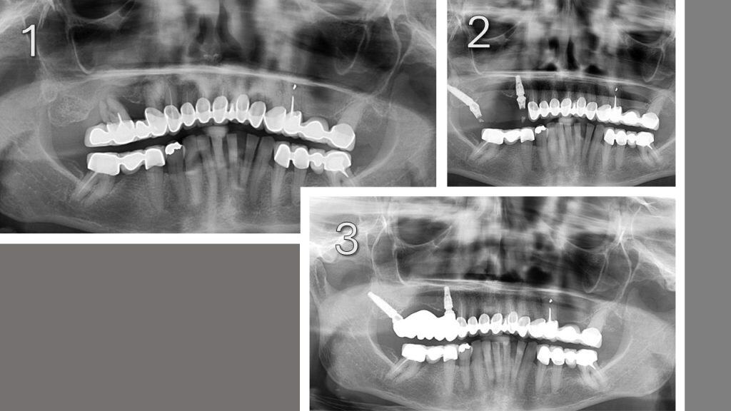
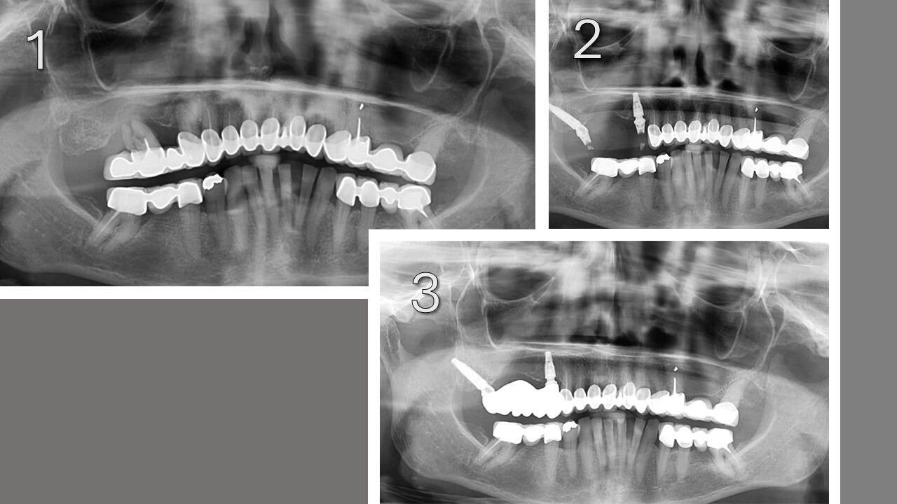
Examples of pterygoid implant placement


